Sinergia tra Magnetic Mallet e innesto connettivale.

ADVAN
ADVAN

Dr. Matteo Tonizzo

Libero professionista presso studio privato
Dds, MScChirurgo Orale

Clinica: Libero professionista presso studio privato in provincia di Pordenone (FVG), collabora come chirurgo orale e implantologo in studi privati 

Formazione: Laureato con “Matricola ad Honorem” all’Università Europea di Valencia nel 2017. Specializzato in Chirurgia Orale all’Università degli Studi di Trieste nel 2020 con lode

Abstract

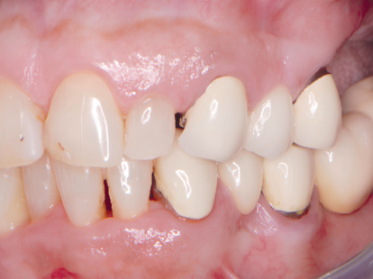
Il case report illustra un trattamento implanto-protesico integrato su una paziente con frattura protesica ed edentulia posteriore con atrofia ossea verticale. Viene evidenziata la sinergia tra l’uso degli impianti ADVAN, il modulo GFA e il dispositivo Magnetic Mallet.  La riabilitazione ha previsto innesto di tessuto connettivo in zona estetica 24 e rialzo crestale del seno mascellare in zona posteriore 26, consentendo stabilità primaria, aumento dei volumi gengivali e predicibilità estetico-funzionale. L’uso del protocollo “One Abutment One Time” ha favorito il mantenimento del sigillo biologico, riducendo il rischio infiammatorio peri-implantare.

In questo case report andremmo ad analizzare e valutare la sinergia degli impianti Advan con il Magnetic Mallet ed il modulo transmucoso GFA nel caso di un aumento dei volumi gengivali vestibolari eseguiti con tecnica mucogengivale di prelievo ed innesto di tessuto connettivo.