Riabilitazione totale dell’arcata superiore GTB TZERO e componente GFA

ADVAN
ADVAN

Dott. ssa Barbara Sabiu

Libero Professionista e consulente
Titolare Studio Sabiu
Via Don Minzoni, 20 San Giovanni Suergiu (SU)

Specializzata in chirurgia ed implantologia, protesi ed ortodonzia

Abstract

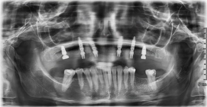
La paziente si è presentata alla nostra osservazione con una dentatura dell’arcata superiore gravemente compromessa, caratterizzata da carie destruenti, fratture radicolari, elementi non recuperabili e una funzionalità ormai insufficiente sia dal punto di vista masticatorio che estetico (Fig. 1). Si è discusso delle alternative di cura con la paziente, con una analisi delle proposte terapeutiche, in base a collaborazione e capacità economica espresse dal paziente. Dopo un’accurata valutazione clinica, fotografica e radiografica, è stato concordato un percorso di riabilitazione totale su impianti, basato su pianificazione digitale al fine di garantire massima precisione, sicurezza e predicibilità.


Il trattamento ha previsto l’inserimento di impianti Advan GTB TZERO secondo protocollo ATiM, selezionato per la sua affidabilità in situazioni anatomiche complesse, e l’utilizzo della componente protesica GFA, ideale per ottenere una corretta emergenza e una passivazione protesica ottimale. Il workflow interamente digitale ha consentito il matching accurato tra CBCT e scansioni intraorali, la progettazione della dima chirurgica e la gestione della fase protesica immediata, riducendo i tempi e aumentando il comfort della paziente. Il presente case report descrive in modo dettagliato tutte le fasi del trattamento –diagnostica, chirurgia e protesi – e documenta l’evoluzione clinica fino al follow-up, evidenziando come l’integrazione tra protocollo chirurgico Advan e tecnologie digitali possa migliorare significativamente prevedibilità, estetica e qualità di vita del paziente.