Riabilitazione protesica con impianti short GTB: comportamento dell’osso crestale dopo il carico. Case report con follow up a 9 anni.

ADVAN
ADVAN

Dott. Nicola Vanuzzo

Libero professionista: Odontoiatra e Professore a C. presso l’Università di Genova.

Clinica: Centro Dentale Vanuzzo Padova (PD) - Italia

Key Opinion Leader (KOL) for Advan S.r.l.

Abstract

Negli ultimi anni abbiamo assistito ad una evoluzione delle macrogeometrie degli impianti dentali e delle componentistiche protesiche che hanno portato ad un aumento notevole del “rendimento biologico” degli impianti dentali, tanto da modificare, a volte anche in modo radicale, l’approccio chirurgico ed i protocolli implanto-protesici. 

In questa ottica, l’utilizzo degli impianti “short” è diventata sempre più una alternativa terapeutica predicibile, in grado a volte di evitare procedure di rigenerazione verticale complesse che espongono il paziente ad un'allungamento dei tempi clinici, spesso con doppio accesso chirurgico. Quello che diventa interessante ora, dopo anni in cui si utilizza anche questo alternativo approccio, è capire come si comparta l’osso, in particolare quello marginale, sottoposto a carichi importanti, con leve e rapporti corono-radicolari sfavorevoli (2:1 opiù). 

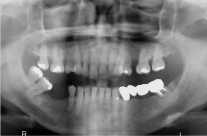
Nel prossimo case report presenteremo un follow-up a 9 anni dall’inserimento di una fixture GTB di 4,3 mm di diametro e 6 mm di lunghezza, in posizione 36, come elemento di ponte di una riabilitazione protesica 34-36,dove in posizione 34 abbiamo una fixture GTB3.6 mm di diametro e 9mm di lunghezza.


Dall’avvento dell’implantologia lo sviluppo dei sistemi implanto protesici è stato costante. In termini di osteointegrazione, ma anche in termini di riduzione delle dimensioni implantari, e di predicibilità a lungo termine, guidata dalla stabilità e assenza di infiammazione dei tessuti perimplantari. Un case report per testimoniare quali siano i risultati oggi ottenibili.