Riabilitazione full-arch di un mascellare superiore con 6 impianti GTB Tzero

ADVAN
ADVAN

Dott. Cesare Bottos

Libero Professionista
Fondatore e proprietario presso Studio Bottos 
San Vito al Tagliamento (UD) - Italia 
ed altri studi odontoiatrici 
limitandosi alla chirurgia implantare.

Opinion Leader per Advan S.r.l.

Abstract

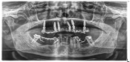
La scelta di eseguire una riabilitazione completa di un’arcata dentaria ci mette di fronte ad alcune decisioni importanti di gestione dell’osteointegrazione, della gestione dei tessuti molli e duri. In questo caso specifico la nostra attenzione si è concentrata sul mantenere i parametri masticatori, dimensione verticale, e la stabilità dei tessuti molli. Il paziente di 75 anni è stato riabilitato con una protesi full arch avvitata nell’arcata superiore, scegliendo di eseguire un carico differito. Quindi si è proceduto con la realizzazione di due tipi di provvisori, il primo a supporto dentale, in attesa dell’integrazione degli impianti, e sul secondo a supporto implantare. La protesi definitiva avvitata agli impianti GTB Tzero è stata realizzata con materiali compositi e una struttura in fibra di vetro.


Full arch a carico differito arcata superiore

La scelta di eseguire una riabilitazione completa dell’arcata superiore su impianti a carico differito è stata dettata dal fatto che il paziente in questione aveva ancora alcuni denti validi per poter sostenere un carico masticatorio temporaneo e darci la possibilità di gestire al meglio i tessuti duri e molli.La stabilità primaria durante l’inserimento degli impianti è determinante per la decisione di eseguire un carico immediato o differire il carico a osteointegrazione avvenuta.Si presenta alla nostra osservazione un signore di 75 anni con una protesi fissa superiore parzialmente decementata e con una frattura della struttura metallica. (Fig. 2.1 e Fig 2.2).