Vantaggi di impianto post estrattivo a carico immediato

ADVAN
ADVAN

Dott. Cesare Bottos

Libero Professionista
Fondatore e proprietario presso Studio Bottos 
San Vito al Tagliamento (UD) - Italia 
ed altri studi odontoiatrici 
limitandosi alla chirurgia implantare.

Opinion Leader per Advan S.r.l.

Abstract

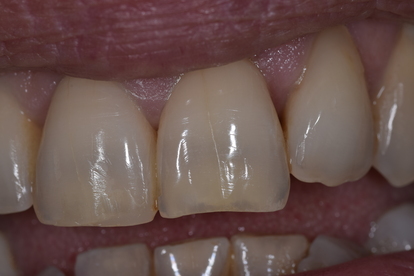
L’esecuzione di un impianto post estrattivo a carico immediato dà innumerevoli vantaggi in termini di semplificazione delle procedure chirurgiche e al tempo stesso, vanno valutati attentamente diversi parametri per poter ottenere dei buoni risultati in termini estetici e funzionali. L’utilizzo degli impianti Advan GTB Tzero permette di ottenere un’ottima stabilità primaria e quindi la possibilità di poter caricare subito l’impianto. Al tempo stesso il sistema GFA ci permette di posizionare correttamente la connessione tra impianto e moncone protesico alfine di ottenere il massimo del risultato estetico che richiede una riabilitazione implantare di un dente in zona frontale