L'utilizzo del Gingival Former Abutment (GFA) per la riabilitazione mandibolare posteriore

ADVAN
ADVAN

Dott. Loukas Efthymiou

Libero Professionista
Fondatore e proprietario di una clinica dentistica privata ad Atene specializzata in impianti, chirurgia orale e odontoiatria estetica.   

 DDS, MSc, Efstathia Andrikopoulou DDS, MScProsthodontics - Grecia 
Opinion Leader per Advan S.r.l.

Abstract

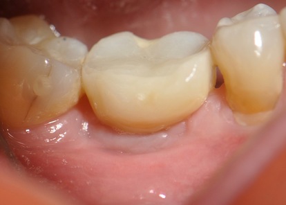
L'utilizzo del Gingival Former Abutment (GFA) per la riabilitazione mandibolare posteriore di un dente singolo con posizionamento post estrattivo immediato dell'impianto.


Al giorno d’oggi, gli impianti dentali sono ampiamente utilizzati e sono considerati una delle diverse opzioni di trattamento che possono essere utilizzate per sostituire i denti mancanti. Le principali cause della perdita dei denti sono fratture, malattie parodontali o addirittura edentulie congenite. Poiché il numero di impianti dentali aumenta nella pratica clinica quotidiana, la richiesta di una prevedibilità funzionale e a lungo termine è necessaria. La chiave di un risultato di successo è la gestione corretta e minimamente invasiva dei tessuti duri e molli che circondano il tragitto transosseo e transmucoso dell’abutment. In questa serie di casi, vengono presentati e analizzati i fattori che possono portare a un restauro implantare di successo nella zona posteriore della mandibola.

Il sistema GFA (Gingival Former Abutment) (Fig. 1.1) è un sistema protesico per impianti dentali ADVAN (Advan Implantology,Amaro, Udine, Italia) che consente di trasformare un impianto sommerso in un impianto transmucoso. Il clinico è in grado di eseguire il protocollo di one time abutment che riduce al minimo il riassorbimento crestale perimplantare e migliora la stabilità dei tessuti molli nell’interfaccia impianto-moncone.